Practical Neurology
Welcome to Practical Neurology, a publication focused on clinical neurology and everyday practice. Drawing from content available at www.practicalneurology.com, this platform features case reports, podcasts, and videos that highlight diagnostic approaches, treatment considerations, and management strategies for a range of neurologic conditions. The goal is to present real-world clinical scenarios and discussions that support thoughtful decision-making and reflective practice. Whether through expert interviews or detailed case analyses, Practical Neurology offers material that informs and engages clinicians working in the field of neurology.
Study Reveals Link Between Depression, Epilepsy, and Treatment Failure
Practical NeurologyStudy Reveals Link Between Depression, Epilepsy, and Treatment Failure
Leveraging AI To Optimize Epilepsy Patient Care
Practical NeurologyLeveraging AI To Optimize Epilepsy Patient Care
The Belly and the Brain: Weight Management and Headache
Practical NeurologyThe Belly and the Brain: Weight Management and Headache
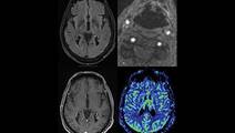
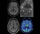
Factors Influencing the Selection of Amyloid PET Tests for Alzheimer Disease
Practical NeurologyFactors Influencing the Selection of Amyloid PET Tests for Alzheimer Disease
Factors Influencing the Selection of CSF Tests for Alzheimer Disease
Practical NeurologyFactors Influencing the Selection of CSF Tests for Alzheimer Disease
RENEU (A Study to Evaluate the Safety, Effectiveness, and Tolerability of Gomekli in Children Aged ≥2 Years and Adults with an Inoperable NF1-PN; NCT03962543)
Practical NeurologyRENEU (A Study to Evaluate the Safety, Effectiveness, and Tolerability of Gomekli in Children Aged ≥2 Years and Adults with an Inoperable NF1-PN; NCT03962543)
- advertisement
Acute Ischemic Stroke in the Third Trimester of Pregnancy: A Case of Successful Treatment with Tenecteplase and Thrombectomy
Practical NeurologyAcute Ischemic Stroke in the Third Trimester of Pregnancy: A Case of Successful Treatment with Tenecteplase and Thrombectomy
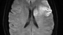
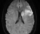
An Unusual Case of Adult-Onset Rapidly Progressive Leukoencephalopathy Associated With POLR3B-Related Sequence Variation
Practical Neurology: Focus on Epilepsy & SeizuresAn Unusual Case of Adult-Onset Rapidly Progressive Leukoencephalopathy Associated With POLR3B-Related Sequence Variation
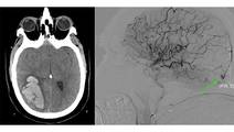
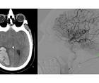
Spontaneous Intracranial Hemorrhage Secondary to Rare Pial Arteriovenous Fistula Rupture
Practical NeurologySpontaneous Intracranial Hemorrhage Secondary to Rare Pial Arteriovenous Fistula Rupture
Challenge Case Report: Acute Onset of Expressive Aphasia, Visual Disturbances, and Severe Headache
Practical NeurologyChallenge Case Report: Acute Onset of Expressive Aphasia, Visual Disturbances, and Severe Headache
Rapidly Progressive Dementia and Plateau Waves: A Rare Presentation of Leptomeningeal Disease
Practical NeurologyRapidly Progressive Dementia and Plateau Waves: A Rare Presentation of Leptomeningeal Disease
Critical Bilateral Carotid Artery Disease Presenting as Hemichorea
Practical NeurologyCritical Bilateral Carotid Artery Disease Presenting as Hemichorea
- advertisement











































































