Episodes 31-45 of 112
Roundtable: When and How to Approach Using Newly Approved Anti-VEGF Agents
AMD/DME Case Files: Real-World Patient ProfilesRoundtable: When and How to Approach Using Newly Approved Anti-VEGF Agents
Real-World Treatment-Naïve Case: Bilateral Advanced DME Treated with Two Different Agents
AMD/DME Case Files: Real-World Patient ProfilesReal-World Treatment-Naïve Case: Bilateral Advanced DME Treated with Two Different Agents
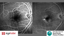
Real-World Step Therapy: Suboptimal Response in Wet AMD
AMD/DME Case Files: Real-World Patient ProfilesReal-World Step Therapy: Suboptimal Response in Wet AMD
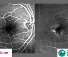
Real-World Switch Case: Difficult-to-Treat Fluid DME Case Study
AMD/DME Case Files: Real-World Patient ProfilesReal-World Switch Case: Difficult-to-Treat Fluid DME Case Study
Switch Case: Faricimab to High-dose Aflibercept
AMD/DME Case Files: Real-World Patient ProfilesSwitch Case: Faricimab to High-dose Aflibercept
Roundtable: Navigating the Treatment Landscape, and a Look at the Pipeline
AMD/DME Case Files: Real-World Patient ProfilesRoundtable: Navigating the Treatment Landscape, and a Look at the Pipeline
- advertisement
Switch Case: Potential Response to Ang-2 in Wet AMD
AMD/DME Case Files: Real-World Patient ProfilesSwitch Case: Potential Response to Ang-2 in Wet AMD
Real-World Treatment-Naïve Case: Bilateral Wet AMD in a 92-Year-Old Patient
AMD/DME Case Files: Real-World Patient ProfilesReal-World Treatment-Naïve Case: Bilateral Wet AMD in a 92-Year-Old Patient
Real-World Switch Case: Wet AMD Therapy in a Patient Averse to Injections
AMD/DME Case Files: Real-World Patient ProfilesReal-World Switch Case: Wet AMD Therapy in a Patient Averse to Injections
Real-World Treatment-Naïve Case: Treating DME With a Dual-Inhibition Approach
AMD/DME Case Files: Real-World Patient ProfilesReal-World Treatment-Naïve Case: Treating DME With a Dual-Inhibition Approach
Real-World Step Therapy Case: A Challenging DME Patient
AMD/DME Case Files: Real-World Patient ProfilesReal-World Step Therapy Case: A Challenging DME Patient
Real-world Switch Case: Wet AMD Patient Who Relies on Family for Transportation
AMD/DME Case Files: Real-World Patient ProfilesReal-world Switch Case: Wet AMD Patient Who Relies on Family for Transportation
- advertisement
Roundtable: Balancing Safety Concerns With Unmet Needs in Wet AMD and DME Therapy
AMD/DME Case Files: Real-World Patient ProfilesRoundtable: Balancing Safety Concerns With Unmet Needs in Wet AMD and DME Therapy
High Myopia and Visual Disability: New Evidence from a Spanish Clinical Cohort
Eye on Ocular HealthHigh Myopia and Visual Disability: New Evidence from a Spanish Clinical Cohort
QuickStart™ Myopia Minute: Talking to Parents About Treatment Options
Eye on Ocular HealthQuickStart™ Myopia Minute: Talking to Parents About Treatment Options







































