Safety Monitoring of Disease-Modifying Therapies in Multiple Sclerosis
Practical Neurology: Focus on Multiple SclerosisSafety Monitoring of Disease-Modifying Therapies in Multiple Sclerosis
- advertisement
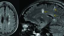
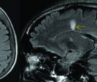
Detecting Multiple Sclerosis Earlier: PRLs and the Evolving McDonald Diagnostic Criteria
Practical Neurology: Focus on Multiple SclerosisDetecting Multiple Sclerosis Earlier: PRLs and the Evolving McDonald Diagnostic Criteria
Learning, Laughing, and Living with Multiple Sclerosis
Practical Neurology: Focus on Multiple SclerosisLearning, Laughing, and Living with Multiple Sclerosis
- advertisement
Artificial Intelligence in Clinical Neurology: Opportunities, Limitations, and the Path Forward
Practical Neurology: Focus on Multiple SclerosisArtificial Intelligence in Clinical Neurology: Opportunities, Limitations, and the Path Forward
Kappa Free Light Chain Index in the Diagnosis of Multiple Sclerosis
Practical Neurology: Focus on Multiple SclerosisKappa Free Light Chain Index in the Diagnosis of Multiple Sclerosis
Clinical Neuroinflammatory Mimics of Multiple Sclerosis
Practical Neurology: Focus on Multiple SclerosisClinical Neuroinflammatory Mimics of Multiple Sclerosis
Radiologic Differential Diagnosis of Multiple Sclerosis
Practical Neurology: Focus on Multiple SclerosisRadiologic Differential Diagnosis of Multiple Sclerosis
Radiologic Biomarkers in Multiple Sclerosis: Improving Detection and Diagnosis
Practical Neurology: Focus on Multiple SclerosisRadiologic Biomarkers in Multiple Sclerosis: Improving Detection and Diagnosis

































































