Episodes 1-15 of 27
Pharmacology of Emerging Selective Sodium Channel Antagonists for the Treatment of Epilepsy
Practical Neurology: Focus on Epilepsy & SeizuresPharmacology of Emerging Selective Sodium Channel Antagonists for the Treatment of Epilepsy
Immunotherapy for Management of Refractory and Super-Refractory Status Epilepticus
Practical Neurology: Focus on Epilepsy & SeizuresImmunotherapy for Management of Refractory and Super-Refractory Status Epilepticus
Innovations in Less-Invasive Epilepsy Surgery
Practical Neurology: Focus on Epilepsy & SeizuresInnovations in Less-Invasive Epilepsy Surgery
Neuromodulation Strategies for Lennox-Gastaut Syndrome: A New Frontier
Practical Neurology: Focus on Epilepsy & SeizuresNeuromodulation Strategies for Lennox-Gastaut Syndrome: A New Frontier
Treatment of Developmental/Epileptic Encephalopathy With Spike-Wave Activation in Sleep
Practical Neurology: Focus on Epilepsy & SeizuresTreatment of Developmental/Epileptic Encephalopathy With Spike-Wave Activation in Sleep
Pharmacologic Management of Behavioral Challenges and Psychiatric Comorbidities in People With Epilepsy
Practical Neurology: Focus on Epilepsy & SeizuresPharmacologic Management of Behavioral Challenges and Psychiatric Comorbidities in People With Epilepsy
- advertisement
Epilepsy Essentials: Practical Uses of EEG in the Operating Room
Practical Neurology: Focus on Epilepsy & SeizuresEpilepsy Essentials: Practical Uses of EEG in the Operating Room
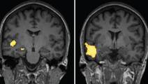
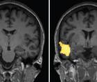
An Unusual Case of Adult-Onset Rapidly Progressive Leukoencephalopathy Associated With POLR3B-Related Sequence Variation
Practical Neurology: Focus on Epilepsy & SeizuresAn Unusual Case of Adult-Onset Rapidly Progressive Leukoencephalopathy Associated With POLR3B-Related Sequence Variation
Empowering Epilepsy Care: Opportunities for Neurologists and Pediatricians in Managing Rare Epilepsy Syndromes
Practical Neurology: Focus on Epilepsy & SeizuresEmpowering Epilepsy Care: Opportunities for Neurologists and Pediatricians in Managing Rare Epilepsy Syndromes
Management of Poststroke Epilepsy: An Update
Practical Neurology: Focus on Epilepsy & SeizuresManagement of Poststroke Epilepsy: An Update
Quality of Life for Older People With Epilepsy
Practical Neurology: Focus on Epilepsy & SeizuresQuality of Life for Older People With Epilepsy
Surgical Management of Epilepsy in Older Adults: Focus on Neurostimulation and Neuromodulation
Practical Neurology: Focus on Epilepsy & SeizuresSurgical Management of Epilepsy in Older Adults: Focus on Neurostimulation and Neuromodulation
- advertisement
Epilepsy Essentials: The Current and Future Landscape of Tuberous Sclerosis Complex Diagnosis and Treatment
Practical Neurology: Focus on Epilepsy & SeizuresEpilepsy Essentials: The Current and Future Landscape of Tuberous Sclerosis Complex Diagnosis and Treatment
Epilepsy Essentials: Novel Interictal Biomarkers for Delineating the Epileptogenic Zone in Children With Drug-Resistant Epilepsy
Practical Neurology: Focus on Epilepsy & SeizuresEpilepsy Essentials: Novel Interictal Biomarkers for Delineating the Epileptogenic Zone in Children With Drug-Resistant Epilepsy
A Case of Anti–GAD65 Autoimmune Musicogenic Epilepsy
Practical Neurology: Focus on Epilepsy & SeizuresA Case of Anti–GAD65 Autoimmune Musicogenic Epilepsy



























































































